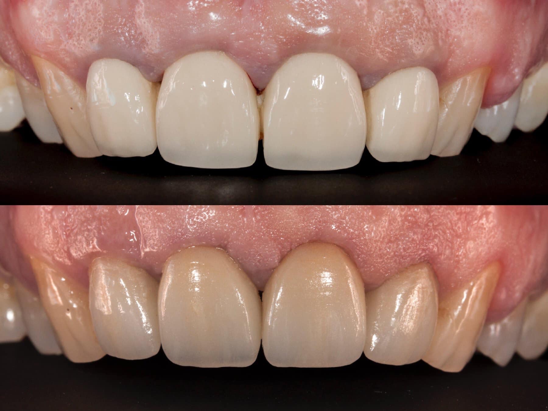
CEREC (Ceramic Reconstruction) ist ein modernes computergestütztes Verfahren in der Zahnmedizin, mit dem Patienten in einer einzigen Sitzung ästhetischen, belastbaren und metallfreien Zahnersatz aus Vollkeramik erhalten können. Das Verfahren benutzt eine digitale intraorale Kamera für einen präzisen, 3D-fähigen Zahnabdruck, der dann in einem angeschlossenen Fräsgerät zu Kronen, Inlays, Teilkronen oder Veneers verarbeitet wird.
Anstelle eines herkömmlichen lästigen Abdrucks im Mund, oft mehrmals, mit einer schlecht schmeckenden Masse werden Ihre Zähne mit einer Intraoral-Kamera digital abgetastet.
Die digitalen Daten werden zu einem exakten 3D-Modell auf dem Computer umgewandelt.
Die Daten gehen an eine angeschlossene 4 Achs CNC-Fräsmaschine, die aus einem Keramikblock in kurzer Zeit den passgenauen Zahnersatz herstellt.
Der fertige Zahnersatz wird anschließend direkt in der Praxis mit einer aufwendigem adhäsiven Verfahren eingesetzt. Eine Wartezeit und ein zweiter Termin ist mit dieser Methode überflüssig.
- Vorteile von CEREC:
-
Eine Sitzung:
Der gesamte Prozess – vom Scan bis zum Einsetzen – findet meist in einer einzigen Sitzung statt.
-
Ästhetisch und belastbar:
Es entsteht hochwertiger, metallfreier Vollkeramik-Zahnersatz, der sich perfekt in die natürliche Zahnfarbe einfügt.
-
Ohne Provisorium:
Da der Zahnersatz sofort fertiggestellt wird, sind lästige Provisorien nicht notwendig.
-
Bequem:
Es entfällt der unangenehme Abdruck mit der traditionellen Silikonmasse.
InLab MCX5 Effizient und flexibel für größere Arbeiten
inLab MC X5 ist eine universelle 5-achsige Fertigungseinheit für die Nass- und Trockenbearbeitung von Blöcken und Ronden. Sie wurde für die zahntechnischen Anforderungen in Laboren konzipiert. Zahnarzt Dr. Hayim in Essen Rüttenscheid verwendet diese Fräsmaschine selber ohne Hilfe von Zahntechnikern und produziert innerhalb von paar Tagen große Brückenarbeiten ohne, dass die Arbeit die Zahnarztpraxis verlässt. Der Vorteil für Sie ist, dass Herr Dr. Hayim selber im Mund die Zähne präpariert und sofort mit dem intraoralen Scan das Ergebnis auf seinem -Bildschirm im Praxislabor sieht und Ihre Vollkeramik, Zirkonbrücke gestaltet. Hier ist jede Fehlerquelle ausgeschlossen.
Sie profitieren mit dem modernen Fräsgerät von einer großen Materialvielfalt und können aus den hochwertigen Materialien für CAD/CAM-Materialien wählen, für die die Fertigungsprozesse von inLab MC X5 optimiert sind.
Das Produkt inLab MC X5 kann je nach Material und Indikation für die Trocken- oder Nassfertigung eingesetzt werden. Mehr als dreißig Jahre Erfahrung in der Nassbearbeitung von Glaskeramik machen diese Maschine zum Profi beim Nass-Schleifen von vollanatomischen Restaurationen aus endfesten monolithischen Materialien. Der Wechsel zwischen Nass- und Trockenfertigung, z. B. von Glaskeramik auf Zirkonoxid, erfolgt schnell und direkt.